갱년기증후군

호르몬 부작용 걱정 없는
갱년기 치료를 원한다면?

갱년기,
정확히 어떤건가요?

생리가 불순해지는 폐경이행기와
마지막 생리가 있고 나서
1년 이후부터인
폐경기를 통틀어 갱년기라고 지칭합니다

붉은 얼굴의 볼을 잡고 걱정하는 중년 여성

신체적 · 심리적 증상이
복합적으로 나타나는 갱년기 증상

  • 수면장애

    수면장애

  • 안면홍조

    안면홍조,
    얼굴 화끈거림

  • 불안감

    우울 · 불안감,
    신경과민

  • 발한

    발한 · 식은땀

  • 가슴 두근거림

    가슴 두근거림

  • 관절 통증

    관절 통증

갱년기 증상,
방치하면 만성질환 발병 위험 증가

  • 갱년기 난소 기능 저하로 인한
    여성 호르몬 감소
  • 혈중 콜레스테롤, 중성지방 증가
  • 골밀도 감소
  • 고지혈증, 고혈압, 골다공증, 당뇨병 등 만성질환 발병 위험 증가

증상을 완화하고 삶의 질을 높이는
갱년기 치료 프로그램

검사 진료 자생 치료
여성 호르몬 검사 맞춤한약
혈액검사 자생약침
골밀도 검사
진맥/문진

호르몬 부작용 걱정 없는
천연 갱년기 치료 한약
'JS트로겐'

#질 건조증 개선
#비만, 동맥경화 예방
#안면홍조, 상열감 개선
#피로해소, 기력증진
#우울증, 불면증 개선
JS트로겐

자생은 호르몬제 치료를 하지 않습니다.

#질 건조증 개선
#비만, 동맥경화 예방
#안면홍조, 상열감 개선
#피로해소, 기력증진
#우울증, 불면증 개선
  • 천연 생약

    천연 생약 성분

    호르몬에 직접적인 영향을
    주지 않는
    천연 생약 성분

  • 세포

    과학적 입증

    과학적으로 입증된
    갱년기 치료 효과

  • 천연 생약

    TOTAL CARE

    복합적인 여성 갱년기 증상을
    한번에 케어

JS트로겐의
갱년기 치료 효과

에스트로겐 수용체 조절로
갱년기 및 호르몬 부작용 완화

JS트로겐이 갱년기 증상 완화를 돕는
에스트로겐 베타 수용체(ERβ) 활성화

JS트로겐이 호르몬 부작용을 유발하는
에스트로겐 알파 수용체(ERα) 억제

감정 조절 호르몬 세로토닌을
정상화시켜 불면·우울증 개선

JS트로겐 투여 시, 혈중 세로토닌 농도
정상과 비슷한 수준으로 증가

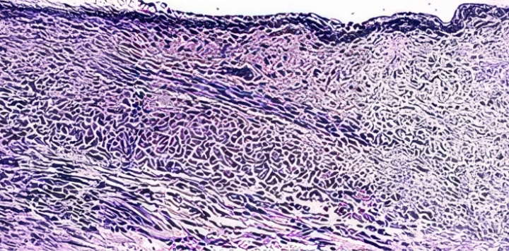
질 조직 정상 수준으로
회복되며 질 건조증 개선

질 각화세포층(분홍색)
정상군
정상군
갱년기 유도 난소 절제군
갱년기 유도 난소 절제군
JS 트로겐 투여
JS 트로겐 투여
질 각화세포층 및 두께 회복

JS트로겐 투여 시, 각화세포층을 포함한
질 조직이 정상에 가깝게 회복

건강한 콜레스테롤 균형을 통해
비만 개선 및 동맥경화 예방

JS트로겐 투여 시,
좋은 콜레스테롤(HLD) 수치 상승

JS트로겐 투여 시,
나쁜 콜레스테롤(LDL) 수치 감소

순수 한약 성분을 정제한 약침으로
갱년기 치료 효과를 높입니다.

진액보충
진액보충 약침
갱년기 부족해진 진액을 보충하여
면역력을 강화하고 골다공증을 예방합니다.
해독해열 약침
상체의 열을내려 상열감과 안면홍조를 해소하고
체내 독소를 줄여줍니다.
활력보강 약침
원기를 북돋아 약해진 체력을 강화하고
피로 회복을 돕습니다.

한의사·의사 협진을 통한
정확한 진단 및 검사

여성 호르몬을 나타내는 일러스트
여성호르몬 검사

난포자극호르몬(FSH) 수치를 검사하여 폐경 여부 진단

혈액 샘플
혈액 검사

혈당, 간기능, 콜레스테롤 등 갱년기 증후군에 동반돼 나타날 수 있는 전체적인 건강 이상 여부 확인

골밀도 검사하는 의사
골밀도 검사

단위 면적당 뼈의 양을 측정하여 갱년기 만성질환 중 하나인 골다공증 정도 측정

진맥 상담 하고 있는 의사
진맥/문진

진맥과 심층 상담 등 세밀하고 종합적인 진찰을 통해 체질에 기반한 개인별 갱년기 증후군의 원인과 증상 파악

검사 장비 종류는 전국 21개 자생 한방병원마다 다를 수 있습니다. 자세한 내용은 24시간 콜센터 1577-0007로 문의해 주세요.

검사 방식은 증상 및 질환의 정도에 따라 달라질 수 있습니다.

자생 한의사가 알려주는
자생건강채널

더보기

갱년기에 더 주의해야하는 관절 질환 '골다공증' 악화되지 않는 생활습관 알아보기

갱년기증상 개선을 위한 새로운 천연 치료법

허리 무너뜨리는 갱년기 변화, 반드시 알아야 할 이유

폐경 후, 급격히 약해지는 뼈… 3가지만 기억하세요!