-
허리 통증과 뻣뻣함
-
엉덩이 및
다리 저림과 통증 -
허리 뒤로 젖힐 시
심한 통증 -
다리 감각 둔화 및
가늘어짐 
보행의 어려움

다리 전체 힘 빠짐
허리 통증과 뻣뻣함
엉덩이 및
다리 저림과 통증
허리 뒤로 젖힐 시
심한 통증
다리 감각 둔화 및
가늘어짐

보행의 어려움

다리 전체 힘 빠짐
선천적으로 좁은 척추관
노화로 인한 퇴행성 변화
척추 주변 인대의
신경 압박
척추전방위증에 의한
협착
허리디스크 vs 척추관협착증
자생의 비수술 치료는 수술 치료와 비교해 통증 및 기능 개선에서 큰 차이가 없었으며, 통증 완화와 장기 효과면에서 우수한 것으로 나타났습니다.
치료 후 허리 통증 개선 및
3년 후에도 호전 유지
치료 후 다리 통증 개선 및
3년 후에도 호전 유지
치료 후 허리 기능 호전 및
3년 후에도 호전 유지
치료 3년 후에도
환자 92.5%가 '호전'되었다고 응답
치료 3년 후에도
환자 89.4%가 '만족'했다고 응답
청파전H 투여 후, 척수 조직 내
염증성 물질 및 통증 감소
청파전H 투여 후, 척추관협착증으로 떨어진
보행 기능 정상에 가깝게 회복
신바로약침 투여 후,
염증 물질 및 통증 감소 확인
신바로약침 투여 후,
척추관협착증으로 떨어진 보행 능력 회복
신바로약침 투여 후,
척추관협착증으로 떨어진 감각 이상 개선
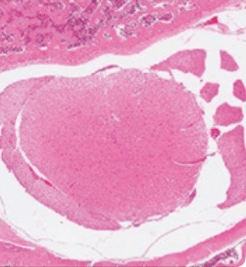
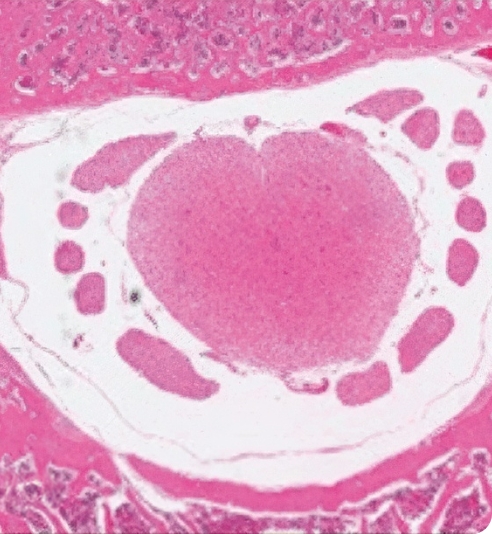
정상 쥐
척추관협착증 유도 쥐
신바로2 약침 투여 쥐
신바로약침 투여 시, 손상된 척추관 및
척수 형태가 정상에 가깝게 회복
Before
After
앉아 있다가 일어설 때 통증이 증가합니다. 좌측 엉덩이부터 발까지 저립니다.
2023.08.05 ~ 2024.02.28
Before
After
허리와 골반 통증, 누워서 다리를 움직일 때 통증 발생
2019.01.22 ~ 2019.07.16
Before
After
허리 통증, 좌하지 방사통 저림
2013.10.01 ~ 2016.12.07
Before
After
허리 통증, 우하지 방사통 저림
2016.01.15 ~ 2016.08.09
Before
After
심한 허리 통증으로 허리 숙일 때와 앉았다 일어날 때 힘듬
2010.05.14 ~ 2014.07.09
Before
After
우측 허리와 다리 통증 및 저림
2013.10.10 ~ 2014.05.02
Before
After
허리디스크로 인한 허리 통증 및 결림 증상
2011.07.20 ~ 2013.04.18
Before
After
일상생활과 수면시 어려움이 있었다.
2011.10.01 ~ 2012.03.26
Before
After
양쪽 다리 통증이 심한 상태
2010.01.28 ~ 2011.08.23
Before
After
허리 통증이 심하며 요부 굴곡 시, 앉았다 일어날 때 통증이 증가
2011.06.17 ~ 2012.02.23
치료기간

염좌/경증 디스크1~2주 이내
조직 손상이 적은 단순 염좌 및 경증 디스크에 대한 1~2주 내 통증 완화 목표 치료

일반 디스크2~3주 이내
2~3주 내 통증 감소 후 손상 조직 회복과 강화를 위한 단계별 치료

중증 디스크2개월 이내
광범위한 조직 손상에 따른 일정 기간 이상 치료 및 2개월 내 일상 복귀 목표 치료

협착증, 퇴행성디스크 등 중증 척추 질환2개월 이상
일상생활에 지장 없는 통증 수준 유지를 위한 집중 치료 후 지속적인 관찰 치료
오랜 시간 동안 진행되어온 퇴행성 척추질환(퇴행성디스크, 척추관 협착증), 뼈의 구조적인 이상(척추분리증, 척추전방전위증, 척추이분증) 등은 병의 진행 상태에 따라 치료 기간이 달라질 수 있습니다.
건강가이드
더보기